Diabete
17 Maggio 2025
Diabete di tipo 2-Immagine credit Journal of Clinical Investigation. Uno studio dimostra che l’eccessiva attività di un gruppo di neuroni è responsabile dell’aumento della glicemia nei topi con diabete di tipo2. Secondo uno studio pubblicato oggi sul Journal of Clinical Investigation, per curare con successo il diabete di tipo 2 potrebbe essere necessario concentrarsi sui neuroni del […]
Leggi tutto »
14 Febbraio 2025
Diabete di tipo 2-studio dalla Università di Yale. Credito: Unsplash/CC0 Public Domain Oltre 36 milioni di americani soffrono di diabete di tipo 2, una condizione attribuita principalmente alle cellule del corpo che non rispondono correttamente all’insulina, portando a livelli elevati di zucchero nel sangue. A causa del concomitante aumento della prevalenza dell’obesità, il diabete di […]
5 Maggio 2023
Diabete di tipo 2-Immagine Credit Public Domain- Un piccolo gruppo di pazienti con diabete di tipo 2 ha migliorato significativamente i livelli di zucchero nel sangue a lungo termine se trattati con Tadalafil ad alte dosi, un farmaco usato per trattare la disfunzione erettile. Il risultato dello studio pilota dell’Università di Göteborg è sorprendente, ma […]
5 Gennaio 2023
Diabete di tipo 2-Immagine Credit Public Domain- Un tipo di batterio trovato nell’intestino può contribuire allo sviluppo del diabete di tipo 2, mentre un altro può proteggere dalla malattia, secondo i primi risultati di uno studio prospettico in corso condotto dai ricercatori del Cedars-Sinai. Lo studio, pubblicato sulla rivista Diabetes, ha scoperto che le persone con […]
9 Novembre 2022
Il diabete di tipo 2 è una condizione che colpisce il modo in cui il corpo regola e utilizza il glucosio come carburante. Tirzepatide, un nuovo farmaco per il diabete somministrato settimanalmente tramite iniezione, ha aiutato le persone con diabete di tipo 2 a raggiungere gli obiettivi glicemici da 4 a 12 settimane prima rispetto […]
Tumori
31 Luglio 2022
(Cancro e diabete-Immagine Credit Public Domain). Il Dottor Yuanjie Mao ha condotto uno studio pubblicato su JAMA Oncology che esamina la correlazione tra la dose giornaliera di insulina e l’incidenza del cancro (il numero di nuovi casi) tra i pazienti con diabete di tipo 1, scoprendo che una dose di insulina più elevata è positivamente associata […]
30 Luglio 2022
(Diabete di tipo 2-Immagine Credit Public Domain). Mangiare a tempo limitato è una forma di digiuno intermittente che alcuni ritengono possa portare benefici metabolici. Gli studi sugli animali sull’alimentazione a tempo limitato che hanno dimostrato la perdita di peso e l’abbassamento della glicemia si sono rivelati difficili da riprodurre negli esseri umani. Tuttavia, un piccolo […]
Medicina Alternativa
15 Luglio 2022
(Diabete di tipo 2-Immagine Credit Public Domain). Diversi farmaci tradizionali comunemente usati nell’Asia meridionale sono efficaci nel mantenere sani i livelli di zucchero nel sangue nei pazienti con diabete di tipo 2, secondo un nuovo studio condotto da esperti dell’Università di Nottingham. Molti paesi dell’Asia meridionale, tra cui India e Nepal, utilizzano il sistema medico […]
27 Maggio 2022 / 27 Maggio 2022
(Diabete di tipo 2/Studio-Immagine:Kieran Smith in laboratorio. Credito: Università di Newcastle, Regno Unito). È stato dimostrato che bere una piccola porzione di proteine del siero di latte prima dei pasti aiuta le persone con diabete di tipo 2 a controllare i livelli di zucchero nel sangue. Secondo una nuova ricerca, che ha il potenziale per […]
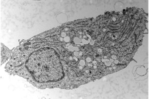
12 Gennaio 2022
(Diabete di tipo 2-Immagine: cellula beta pancreatica al microscopio elettronico. I cerchi bianchi visibili al centro della cellula corrispondono a goccioline di accumulo di grasso. Credito: © UNIGE – laboratorio Maechler). Con quasi il 10% della popolazione mondiale colpita, il diabete di tipo 2 è un grave problema di salute pubblica. Uno stile di vita eccessivamente sedentario e […]