Una fantasia ricorrente nella fantascienza è l’impianto di minuscoli elementi nel cervello delle persone, che sarebbero usati per controllare e dirigere le nostre azioni ed emozioni. Indipendentemente dalla direzione che lo sviluppo tecnologico può prendere in tal senso, in natura questi trucchi sono stati inventati milioni di anni fa. Diversi tipi di parassiti sono in grado di modificare il comportamento degli organismi che li ospitano, costringendoli a smettere di agire per conservare i propri geni, per diventare promotori di quelli estranei.
Il Toxoplasma gondii è uno dei parassiti più comuni nell’uomo. È ospitato da circa un terzo delle persone. Anche così, la maggior parte di noi conosce la sua esistenza solo durante la gravidanza, quando le donne incinte ricevono istruzioni di non mangiare carne cruda perché potrebbe causare il toxoplasma gondii. Tuttavia, tutti i segni indicano il fatto che questo parassita svolge un ruolo importante in molti aspetti della nostra vita.
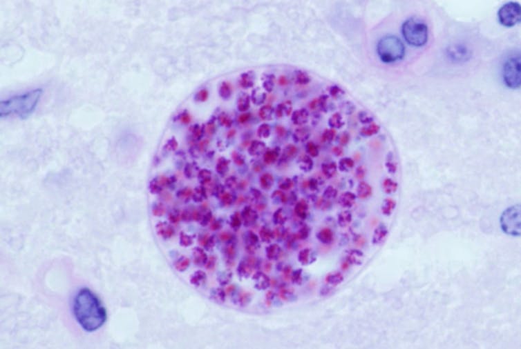
Il toxoplasma è un protozoo, un essere unicellulare talmente piccolo da vivere all’interno delle cellule animali. Questo parassita si riproduce solo sessualmente nell’intestino dei felini (gli ospiti definitivi), ma ha un ciclo vitale complesso e trascorre periodi del tempo ospitato da altri animali – dagli uccelli ai coccodrilli, dai roditori ai cetacei. L’elenco dei possibili ospiti include anche gli esseri umani.
Gli ospiti intermedi acquisiscono il toxoplasma ingerendo le sue oocisti (che sono un po’ come le sue uova) attraverso superfici o alimenti contaminati da escrementi felini, oppure ingerendo altri ospiti intermedi già infetti.
Quando il toxoplasma entra nel corpo degli ospiti intermedi, agisce in modo molto sorprendente. Comincia a riprodursi asessualmente e prende il controllo del nostro sistema immunitario, promuovendo una risposta specifica che induce il parassita a formare cisti in diversi tessuti, con preferenza per il cervello.
Quando la risposta immunitaria è carente, come accade con i feti o gli individui immunodepressi (ad esempio, le persone con HIV), il toxoplasma non si incista e prolifera nell’ospite intermedio, causando così una grave malattia. Quando la risposta immunitaria agisce, il processo di infezione e formazione di cisti è asintomatico o genera solo un lieve disagio.
Queste cisti stanno essenzialmente aspettando che un felino arrivi e mangi l’ospite intermedio, il che darebbe origine a una nuova popolazione di toxoplasma. Ma l’attesa è tutt’altro che passiva. Il toxoplasma fa tutto il possibile per far accadere questo evento di predazione. E può fare molto.

Topi kamikaze
Come regola generale, senza toxoplasma, i roditori cercano di ridurre al minimo la possibilità di essere mangiati dai predatori. Per fare questo, viaggiano attraverso luoghi riparati e si allontanano quando incontrano segni della presenza di gatti.
Quando un roditore ospita cisti di toxoplasma, però, comincia a manifestare comportamenti sconsiderati, esponendosi in zone aperte e recandosi in luoghi contrassegnati dall’odore di feci e urina di gatto. Comportamenti altrettanto disinibiti si verificano in altri animali che ospitano cisti di toxoplasma. Le iene si avvicinano ai leoni, i marsupiali della Tasmania iniziano a essere sbadati e vengono investiti più frequentemente sulle strade e le lontre marine (infette dalla contaminazione dell’acqua con feci di gatto) cadono più facilmente preda degli squali.
L’abbandono del comportamento prudente implica un cambiamento radicale in una delle principali premesse della vita animale: la spinta all’autoconservazione. Un minuscolo parassita inizia a prendere le decisioni piuttosto che l’animale.
Quindi, potrebbe anche essere possibile che il toxoplasma influenzi il comportamento umano?
Fino a poco tempo fa, la presenza di cisti di toxoplasma nell’uomo era considerata asintomatica. Ma c’è una quantità crescente di solide prove del contrario. È stato dimostrato che la presenza di cisti di toxoplasma tra le persone che muoiono in incidenti stradali è sproporzionatamente elevata e si pensa che il parassita sarebbe responsabile di diversi milioni di questi incidenti ogni anno.
Vedi anche:Come il Toxoplasma infetta il 30% degli umani
Gli incidenti non sono necessariamente il risultato di un comportamento senza paura, ma un recente studio su circa 100 decessi ha collegato le morti imprudenti all’infezione da toxoplasma, come accade nei ratti, nei topi, nelle iene o nelle lontre marine. È anche noto che circa il 20% dei casi di schizofrenia è correlato alla presenza di cisti di toxoplasma e ci sono indicazioni che siano coinvolte in altri disturbi psicologici.
Allo stesso modo esiste una forte associazione tra toxoplasma e tentativi di suicidio, al punto che si stima che ogni anno più di un milione di tentativi di suicidio nel mondo siano correlati al parassita.
Fino ad ora, il toxoplasma in uno stato dormiente si presenta come un grave problema di salute pubblica, che pone enormi sfide ai sistemi sanitari e che, fino a tempi molto recenti, era stato trascurato. Ma c’è di più.
Cisti imprenditoriali
Il toxoplasma genera cambiamenti comportamentali con potenziale importanza nelle società umane.
In uno studio che ha coinvolto più di 16.000 donne danesi, è emerso che coloro che convivevano con il toxoplasma erano più intraprendenti.
Tutti questi cambiamenti sembrano riflettere una diminuzione della neofobia associata al toxoplasma, che ci farebbe affrontare nuove situazioni senza temere i rischi che comportano. Questa ridotta paura dell’ignoto è caratteristica degli individui responsabili di nuove invenzioni, che sono quelli che creano innovazioni culturali.
Fonte: The Conversation