new-huntingtons-treatm

Huntington: nuovo trattamento previene l’aggregazione proteica

Huntington-Immagine:nuovo trattamento sfrutta i polimeri peptide-brush, che agiscono come uno scudo per impedire alle proteine ​​di legarsi tra loro. La…

Neurons-Inside-of-Brain-777x518

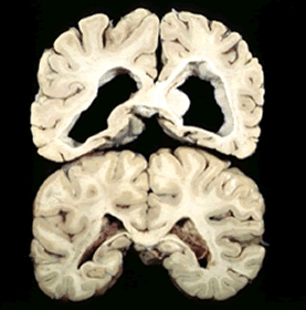
Huntington: come la malattia colpisce il cervello

Huntington-Immagine Credit Scitechdaily. Uno studio recente rivela che la malattia di Huntington colpisce sia le cellule nervose del cervello che…

new-drugs-cross-blood

Huntington: nuovi farmaci possono invertire la malattia

Huntington-Immagine:ìCredit EMBO Molecular Medicine. Gli scienziati del Weizmann Institute hanno scoperto due piccole molecole che possono attraversare la barriera ematoencefalica…

morbo-di-huntington-o-corea-di-huntington-che-cose-sintomi-cause-e-possibili-cure

Huntington: dieta ricca di fibre ritarda i sintomi

Il Professor Anthony Hannan del Florey, capo del gruppo di epigenetica e plasticità neurale e co-responsabile della ricerca per la…

Glowing-Brain-Disease-777x444

Huntington: gli scienziati domano un fattore biologico mortale

I ricercatori dell’UC Riverside hanno fatto progressi nel trattamento della malattia di Huntington identificando il ruolo della metilazione dell’RNA nella…

image050

Malattia di Huntington: verso la comprensione degli interventi precoci

Malattia di Huntington-Immagine Credit Public Domain- La malattia di Huntington è la malattia neurodegenerativa più comune controllata da un singolo…

Huntington: rivelato l’inizio della malattia

Immagine: micrografie a fluorescenza della vita di una proteina umana marcata con fluorescenza all’interno di cellule di lievito. Diversi colori indicano…

dna-4 (1)

Huntington: approfondimenti sulla progressione

Huntington-Immagine Credit Pixabay/CC0 Dominio pubblico- Una nuova ricerca condotta da un team della Facoltà di Medicina dell’Università di Ottawa sta…

1-huntingtonsd (1)

Huntington e la SLA: strumenti per la cura sono già dentro di noi

(Huntington-Immagine: un montaggio di tre immagini di singoli neuroni striatali trasfettati con una versione associata alla malattia dell’huntingtina, la proteina…

Huntingtons Disease-01

Huntington: repressa l’espressione del retrotrasposone

La malattia di Huntington (HD) è una malattia neurodegenerativa a trasmissione dominante caratterizzata dall’espansione del numero di ripetizioni CAG trinucleotidiche…

To top