5b5b07881b48c

Nuove nanoparticelle attaccano il Parkinson su tre fronti

Immgine: Figura 1: tre tipi di nanoparticelle di cereali per il trattamento del morbo di Parkinson. Le nanoparticelle Ceria, TPP-ceria e cluster-ceria…

5b3f6d79275e4

Nuovo studio solleva dubbi sulla teoria dello sviluppo del Parkinson

Immagine: Sezione trasversale di una fibrilla alfa-sinucleina. A sinistra: ricostruzione 3D della fibrilla, che mostra due molecole proteiche interagenti. A destra: modello atomico…

parkinsons-1

La stimolazione cerebrale profonda può rallentare la progressione del tremore nel Parkinson

La stimolazione cerebrale profonda (DBS) può rallentare la progressione del tremore nei pazienti con malattia di Parkinson allo stadio iniziale,…

parkinsonsdi

L’insonnia nella malattia di Parkinson

Un team di ricercatori di VIB e KU Leuven ha scoperto perché le persone con una forma ereditaria di morbo…

5b1a6bf58d5e1

Primo farmaco fotoattivo per combattere il morbo di Parkinson

Immagine: Credito: Università di Barcellona. Un team internazionale ha progettato il primo farmaco fotoattivo potenzialmente terapeutico, MRS7145, per combattere il morbo…

immunosuppresants-parkinsons-neurosciencneews-public-300x214

I farmaci immunosoppressori possono proteggere dal morbo di Parkinson

Sommario: le persone che assumono farmaci immunosoppressori hanno meno probabilità di sviluppare la malattia di Parkinson, secondo un nuovo studio…

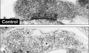
earlysynapti

Disfunzione sinaptica precoce riscontrata nella malattia di Parkinson

Immagine: i neuroni dopaminergici derivati ​​dal pazientecon forma mutata  di LRRK2 mostrano difetti sinaptici. I neuroni derivati ​​da sani controlli umani hanno…

170217_web

Parkinson: nuovi trattamenti terapeutici per prevenire o invertire i difetti neuronali

Immagine: Prof.ssa Laura Volpicelli Daley. Credit: UAB. Un decadimento della funzione cerebrale è un segno distintivo del morbo di Parkinson…

169129_web

Accumulo di lipidi nel cervello può essere un sintomo precoce della malattia di Parkinson

Immagine: Dr.ssa Penny Hallett. Credit: MClean Hospital Un team di ricercatori del McLean Hospital, una filiale della Harvard Medical School e…

parkinsons-1

Parkinson e legame con il ferro

Secondo uno studio pubblicato dal Journal of Neuroscience, il malfunzionamento dei lisosomi, gli organelli che riciclano le proteine danneggiate, causa un…

To top