Scoperte gravi anomalie vascolari nel cervello di pazienti affetti da malattia di Huntington

images (3)

Uno studio internazionale condotto da ricercatori della Université Laval e dalla CHU de Québec-Université Laval, ha identificato significative alterazioni vascolari nel cervello di persone con malattia di Huntington. Questa scoperta innovativa, i cui risultati sono stati pubblicati dalla rivista Annals of Neurology, avrà implicazioni significative nella nostra comprensione della malattia e potrebbe aprire la porta a nuovi bersagli terapeutici per il trattamento della condizione.

La malattia di Huntington è una malattia rara, neurodegenerativa ereditaria che colpisce la coordinazione muscolare e porta ad un declino cognitivo e a problemi psichiatrici. Esordisce tipicamente durante la mezza età ed è la più frequente malattia a causa genetica nei quadri clinici neurologici con movimenti involontari anomali.

Cure e trattamenti attuali possono solo aiutare a controllare alcuni sintomi, ma non a rallentare il processo neurodegenerativo. La malattia colpisce 1 su 10.000 persone.

Anche se molto si scoperto sulla causa della malattia, poco si sa sui processi fisiologici ad essa associati. Alcune malattie neurologiche come il Parkinson ed il morbo di Alzheimer sono accompagnate da cambiamenti nel sistema vascolare del cervello e nella barriera ematoencefalica, l’interfaccia che controlla lo scambio tra il sangue ed il sistema nervoso centrale.

Il team, guidato da Francesca Cicchetti, docente presso la Université Laval e ricercatrice della  CHU de Québec-Université Laval, ha esaminato il cervello delle persone colpite da malattia di Huntington o che erano morte a causa della condizione, nonchè un modello murino della malattia, per determinare se questi cambiamenti sono presenti anche nella malattia di Huntington.

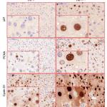
I dati raccolti mostrano huntingtina mutante, la proteina responsabile della malattia, in tutti i principali componenti dei vasi sanguigni del cervello che presentano anche maggiore densità e ridotto diametro.

” Le anomalie osservate all’interno dei vasi sanguigni del cervello di persone affette da malattia di Huntington, sono accompagnate da un aumento della permeabilità della barriera emato encefalica e questo consente alla proteina di propagarsi dalla periferia al sistema nervoso centrale”, ha osservato la Prof. Cicchetti. ” Al momento siamo ancora incerti su come questo contribuisce allo sviluppo o progressione della malattia. Tuttavia, questi risultati, insieme alle nostre osservazioni pubblicate lo scorso anno nella stessa rivista, suggeriscono fortemente che la malattia non è solo il risultato di un fenomeno intrinseco alle cellule, vale a dire il prodotto di una mutazione genetica, ma piuttosto che le cellule sane possono anche essere infettate dalla proteina mutante “, ha aggiunto la ricercatrice.

Questa ricerca apre nuove strade al trattamento della malattia di Huntington. “Se infatti, il trasporto della proteina mutante è facilitato dalla permeabilità della barriera ematoencefalica, si potrebbe considerare lo sviluppo di terapie volte a ripristinare la sua integrità per prevenire la migrazione di cellule periferiche malate verso il cervello”, ha concluso la Prof. Cicchetti.

Fonte. http://www.sciencenewsline.com/articles/2015041618150049.html

 

To top