Gli scienziati dicono di aver scoperto due varianti genetiche che dimostrano che sia la suscettibilità che l’insorgenza della leucemia infantile, possono essere ereditate. La ricerca è stata pubblicata sulla rivista Sangue .
I ricercatori dell’ Institute of Cancer Research di Londra sostengono che la scoperta potrebbe portare a nuovi farmaci per i bambini che non rispondono bene ai trattamenti correnti per la malattia.
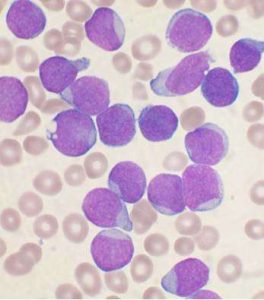
La leucemia linfoblastica acuta (ALL) è la più comune forma di cancro nei bambini e ragazzi ed è causata da eccessiva produzione di linfociti immunitari ( un tipo di globuli bianchi) da parte del midollo osseo. L’insorgenza è più comune tra i 2 ed i 4 anni di età.
Per lo studio, i ricercatori hanno analizzato il genoma di oltre 1.500 bambini con leucemia , insieme a 4.500 bambini sani.
I risultati delle analisi hanno rivelato un forte legame tra due polimorfismi a singolo nucleotide comuni (SNPs) – “errori di copia” nel DNA – con la suscettibilità alla leucemia.
Secondo i ricercatori uno degli SNP, chiamato rs3824662 e trovato nel gene GATA3, è legato ad un sottotipo di tumore noto per avere grande probabilità di recidiva.
Richard Houlston, professore di genetica molecolare presso l’Istituto di ricerca sul cancro e autore principale dello studio, ha detto :
“Questi risultati sono molto significativi perché forniscono ulteriori elementi di prova per la predisposizione ereditaria a sviluppare la leucemia linfoblastica acuta infantile.
Inoltre, uno degli SNP è legato anche al rischio di sviluppo di una forma specifica della condizione che ha una prognosi infausta. Questa scoperta fornisce nuove informazioni su come ALL si sviluppa. “
Secondo l’ American Cancer Society , i tassi di sopravvivenza infantile di leucemia sono notevolmente aumentati nel corso del tempo e un tasso di sopravvivenza a 5 anni è ormai oltre l’ 85%.
Tuttavia, i ricercatori aggiungono che, anche se i trattamenti per la malattia hanno percorso una lunga strada, ci sono ancora molti pazienti che non rispondono bene ai trattamenti.
“Questi risultati forniscono ulteriori approfondimenti delle basi genetiche e biologiche della ereditarietà della suscettibilità genetica alla leucemia linfoblastica acuta infantile”, spiega Chris Bunce, direttore di ricerca presso Leukemia and Lymphoma Research, che ha finanziato lo studio.
“Capire come differenti variazioni genetiche determinano un sottotipo di tumore, ci permette di adattare il trattamento di conseguenza”, aggiunge.
Un recente studio, sempre presso l’Istituto di ricerca sul cancro, ha scoperto che le prime mutazioni avvengono nel grembo di una madre e possono portare alla comparsa della leucemia.
Gli scienziati dell’Ospedale St. Jude Children hanno recentemente rivelato di aver identificato una proteina di cui alcune cellule ad alto rischio di leucemia linfoblastica acuta hanno bisogno per sopravvivere. Dallo studio deriveranno nuove strategie per uccidere le cellule tumorali .