Nuovo composto uccide selettivamente le cellule staminali del glioblastoma

1-glioblastoma

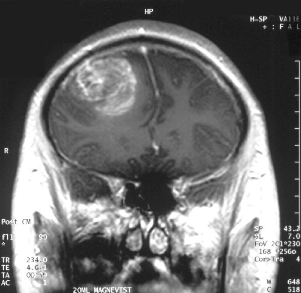
Immagine, glioblastoma (astrocitoma) OMS di IV grado – RMR vista coronale, post contrasto. Ragazzo di 15 anni. Credito: Christaras A / Wikipedia.

Gli scienziati dello Scripps Research Institute hanno scoperto un composto che uccide in modo potente e selettivo le cellule staminali che rende il glioblastoma così mortale.

In uno studio pubblicato questa settimana negli Atti della National Academy of Sciences, gli scienziati dello Scripps Research hanno scoperto che il nuovo composto, che hanno chiamato RIPGBM, uccide le cellule staminali di glioblastoma coltivate da tumori dei pazienti, con una potenza maggiore di più di 40 volte la potenza di temozolomide, farmaco standard per il trattamento della condizione. I ricercatori hanno anche scoperto che RIPGBM è altamente selettivo, risparmia altri tipi di cellule cerebrali e sopprime con forza la crescita del glioblastoma in un modello murino della malattia.

“La nostra scoperta di questo composto e dei suoi percorsi cellulari offre una promettente nuova strategia per il trattamento del glioblastoma“, afferma Luke Lairson, ricercatore di chimica presso lo Scripps Research.

I glioblastomi vengono diagnosticati in circa 10.000 persone ogni anno negli Stati Uniti e sono generalmente incurabili, con una sopravvivenza media di circa un anno dalla diagnosi. 

Gli scienziati negli ultimi dieci anni sono giunti a considerare le cellule staminali del glioblastoma (GBM CSC) come la chiave per la virulenza di questo cancro. Lcellule staminali del glioblastoma sono relativamente resistenti alla chemioterapia e alle radiazioni e tendono a migrare dal sito del tumore primario nel tessuto cerebrale sano adiacente. Pertanto, anche dopo che il tumore primitivo è stato rimosso con un intervento chirurgico e il cervello del paziente è stato trattato con chemioterapia e radiazioni standard, è quasi certo che almeno alcune cellule staminali del glioblastoma disperse nel cervello sopravviveranno e si svilupperanno in nuovi tumori.

Vedi anche, Strumento biomedico rivoluzionario induce le cellule di glioblastoma a migrare in un contenitore esterno.

Lairson e colleghi hanno istituito un test di screening automatizzato su larga scala di circa un milione di composti organici a piccole molecole che hanno applicato a cellule cerebrali ordinarie e cellule staminali di glioblastoma coltivate da pazienti con glioblastoma. “Queste cellule tumorali derivate da pazienti conservano le caratteristiche che rendono i tumori GBM così aggressivi e letali, compresa la capacità di formare tumori simili a GBM quando iniettati nel cervello dei topi“, afferma Lairson.

Dopo diversi cicli di screening, lui ed i suoi colleghi hanno scoperto che un composto, RIPGBM, si distingueva dagli altri per la sua capacità di uccidere le cellule staminali di glioblastoma, risparmiando allo stesso tempo tipi di cellule sane. Hanno scoperto che il composto funziona in modo selettivo perché è modificato da enzimi o altri fattori che sembrano essere prevalenti in modo univoco nelle cellule staminali. All’interno di queste cellule tumorali il composto modificato, RIPGBM, innesca un processo di autodistruzione cellulare chiamato apoptosi.

Gli scienziati hanno dimostrato che in un modello murino standard di glioblastoma che è stato trapiantato con cellule di glioblastoma derivate dal paziente umano, i topi non trattati hanno sviluppato i soliti tumori cerebrali entro cinque settimane, mentre i topi trattati con RIPGBM hanno sviluppato tumori cerebrali relativamente piccoli.

Lairson e colleghi hanno in programma di sviluppare ulteriormente il composto RIPGBM e di eseguire più test sugli animali e in ultima analisi, gli studi clinici sull’uomo. “In linea di principio, RIPGBM o una molecola come questa potrebbe ridurre di molto il tasso di ricrescita del glioblastoma, con effetti collaterali minimi perché risparmierebbe le normali cellule cerebrali “, afferma Lairson.

Fonte, Atti della National Academy of Sciences (2019)

To top