Un trattamento che blocca una proteina legata all’età ripristina la cartilagine nelle articolazioni invecchiate e danneggiate riprogrammando le cellule esistenti anziché utilizzare cellule staminali.
I ricercatori della Stanford Medicine riferiscono che il blocco di una proteina legata all’invecchiamento può ripristinare la cartilagine che si consuma naturalmente nelle ginocchia dei topi anziani. “Nello studio, il trattamento iniettabile non solo ha ricostruito la cartilagine, ma ha anche impedito lo sviluppo di artrite dopo lesioni al ginocchio simili alle lesioni del legamento crociato anteriore, comuni tra gli atleti e gli adulti attivi“, spiegano gli autori. Una versione in pillole della stessa terapia è già in fase di sperimentazione in studi clinici volti a trattare la debolezza muscolare associata all’invecchiamento.
Anche il tessuto del ginocchio umano prelevato durante interventi di sostituzione articolare ha risposto positivamente al trattamento. Questi campioni, che includono sia la matrice extracellulare di supporto dell’articolazione, sia le cellule condrocitarie che producono cartilagine, hanno iniziato a formare nuova cartilagine che ha ripreso a funzionare normalmente.
Nel complesso, questi risultati indicano la possibilità che la cartilagine persa a causa dell’invecchiamento o dell’artrite possa un giorno essere ripristinata mediante un’iniezione localizzata o un farmaco orale, eliminando potenzialmente la necessità di un intervento chirurgico di sostituzione del ginocchio o dell’anca.
Agire sulla causa principale dell’osteoartrite
Invece di alleviare i sintomi, il trattamento agisce sulla causa scatenante dell’osteoartrite. Questa patologia degenerativa delle articolazioni colpisce circa un adulto su cinque negli Stati Uniti e genera ogni anno circa 65 miliardi di dollari in costi sanitari diretti. Attualmente, nessun farmaco disponibile può arrestare o invertire la malattia, lasciando la gestione del dolore e la sostituzione articolare come opzioni terapeutiche primarie.
La terapia agisce su una proteina chiamata 15-PGDH, che aumenta con l’invecchiamento ed è classificata come gerozima. I gerozimi, descritti per la prima volta dallo stesso team di ricerca nel 2023, svolgono un ruolo centrale nell’invecchiamento contribuendo al graduale declino della funzionalità tissutale. Nei topi, l’aumento dei livelli di 15-PGDH è un fattore chiave nella perdita di forza muscolare che si verifica con l’età. Quando gli scienziati bloccano questa proteina utilizzando una piccola molecola, i topi più anziani mostrano guadagni in termini di massa muscolare e resistenza. Al contrario, forzare i topi giovani a produrre 15-PGDH provoca l’indebolimento e il restringimento dei loro muscoli. La proteina è stata anche collegata alla rigenerazione delle ossa, dei nervi e delle cellule del sangue.
In questi tessuti, la riparazione dipende dall’attivazione e dalla specializzazione di cellule staminali tessuto-specifiche. La cartilagine si comporta diversamente. Invece di affidarsi alle cellule staminali, i condrociti alterano la loro attività genica in modi che ripristinano uno stato più giovanile, consentendo la rigenerazione senza il coinvolgimento delle cellule staminali.
“Si tratta di un nuovo modo di rigenerare i tessuti adulti e ha notevoli potenzialità cliniche per il trattamento dell’artrite dovuta all’invecchiamento o a lesioni“, ha affermato Helen Blau, PhD, Prof.ssa di microbiologia e immunologia. “Cercavamo cellule staminali, ma chiaramente non sono coinvolte. È davvero entusiasmante”.
Blau, Direttore del Baxter Laboratory for Stem Cell Biology e Professore presso la Donald E. and Delia B. Baxter Foundation e Nidhi Bhutani, PhD, Professore associato di chirurgia ortopedica, sono gli autori principali della ricerca, pubblicata su Science. L’istruttrice di chirurgia ortopedica Mamta Singla, PhD e l’ex borsista post-dottorato Yu Xin (Will) Wang, PhD, sono gli autori principali dello studio. Wang è ora Professore associato presso il Sanford Burnham Institute di San Diego.
‘Rigenerazione cartilaginea straordinaria’
“Milioni di persone soffrono di dolori e gonfiori articolari con l’avanzare dell’età“, ha affermato Bhutani. “Si tratta di un’enorme esigenza medica insoddisfatta. Finora, non esisteva alcun farmaco che trattasse direttamente la causa della perdita di cartilagine. Ma questo inibitore del gerozima provoca una rigenerazione cartilaginea straordinaria, superiore a quella riportata in risposta a qualsiasi altro farmaco o intervento“.
Esistono tre tipi principali di cartilagine nel corpo umano. La prima, la cartilagine elastica, è morbida e flessibile e forma strutture simili a quelle dell’orecchio esterno. La seconda, la fibrocartilagine, è densa e resistente e assorbe gli urti in aree come gli spazi intervertebrali. La terza, la cartilagine ialina, è liscia e lucida, e fornisce una superficie a basso attrito per la lubrificazione e la flessibilità di articolazioni come caviglie, anche, spalle e alcune parti del ginocchio. La cartilagine ialina, nota anche come cartilagine articolare, è la cartilagine più comunemente colpita dall’osteoartrite.

L’osteoartrite si verifica quando un’articolazione è sottoposta a stress a causa di invecchiamento, lesioni o obesità. I condrociti iniziano a rilasciare molecole pro-infiammatorie e a degradare il collagene, la principale proteina strutturale della cartilagine. Quando il collagene viene perso, la cartilagine si assottiglia e si ammorbidisce; l’infiammazione che ne consegue causa il gonfiore e il dolore articolare, caratteristiche distintive della malattia. In circostanze normali, la cartilagine articolare raramente si rigenera. Sebbene siano state identificate nell’osso alcune popolazioni di presunte cellule staminali o progenitrici in grado di generare cartilagine, i tentativi di identificare popolazioni simili di cellule nella cartilagine articolare non hanno avuto successo.
Precedenti ricerche del laboratorio di Blau hanno dimostrato che una molecola chiamata prostaglandina E2 è essenziale per la funzione delle cellule staminali muscolari. La 15-PGDH degrada la prostaglandina E2. L’inibizione dell’attività della 15-PGDH, o l’aumento dei livelli di prostaglandina E2, favorisce la rigenerazione di muscoli, nervi, ossa, colon, fegato e cellule del sangue danneggiate nei topi giovani.
Blau, Bhutani e i loro colleghi si sono chiesti se 15-PGDH potesse svolgere un ruolo anche nell’invecchiamento della cartilagine e delle articolazioni. Volevano scoprire se un percorso simile contribuisse alla perdita di cartilagine dovuta all’invecchiamento o in risposta a lesioni. Confrontando la quantità di 15-PGDH nella cartilagine del ginocchio in topi giovani e anziani, hanno osservato che, come in altri tessuti, i livelli del gerozima aumentavano di circa due volte con l’età.
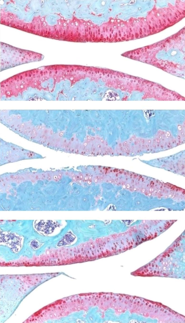
Hanno poi sperimentato l’iniezione in animali anziani di un farmaco a piccola molecola che inibisce l’attività della 15-PGDH, prima nell’addome, con effetti su tutto il corpo, poi direttamente nell’articolazione. In entrambi i casi, la cartilagine del ginocchio, che era notevolmente più sottile e meno funzionale negli animali anziani rispetto ai topi più giovani, si è ispessita lungo la superficie articolare. Ulteriori esperimenti hanno confermato che i condrociti nell’articolazione stavano generando cartilagine ialina, o articolare, anziché fibrocartilagine meno funzionale.
“La rigenerazione della cartilagine a tal punto nei topi anziani ci ha colto di sorpresa”, ha detto Bhutani. “L’effetto è stato notevole“.
Come affrontare le lesioni del legamento crociato anteriore
Risultati simili sono stati osservati in animali con lesioni al ginocchio come le lesioni del legamento crociato anteriore (LCA), che si verificano frequentemente in persone che praticano sport come calcio, basket e sci, che richiedono bruschi cambi di direzione, arresti o salti. Sebbene le lesioni possano essere riparate chirurgicamente, circa il 50% delle persone sviluppa osteoartrite nell’articolazione lesionata entro circa 15 anni.
I ricercatori hanno scoperto che una serie di iniezioni due volte a settimana per quattro settimane dell’inibitore del gerozyme dopo l’infortunio ha ridotto drasticamente la probabilità di sviluppare osteoartrite nei topi. Gli animali trattati con un farmaco di controllo presentavano livelli di 15-PGDH due volte superiori rispetto ai loro coetanei non infortunati e hanno sviluppato osteoartrite entro quattro settimane.
Gli animali trattati con l’inibitore del gerozima si muovevano anche in modo più naturale e caricavano più peso sulla zampa interessata rispetto agli animali non trattati.
“È interessante notare che la prostaglandina E2 è stata implicata nell’infiammazione e nel dolore”, ha affermato Blau. “Ma questa ricerca dimostra che, a livelli biologici normali, piccoli aumenti della prostaglandina E2 possono promuovere la rigenerazione”.
Un’analisi più approfondita dei condrociti nelle articolazioni di topi vecchi e giovani ha mostrato che i condrociti vecchi esprimevano più geni dannosi coinvolti nell’infiammazione e nella conversione della cartilagine ialina in osso indesiderato, e meno geni coinvolti nello sviluppo della cartilagine.
Riprogrammazione delle cellule cartilaginee senza cellule staminali
I ricercatori sono stati anche in grado di individuare sottocategorie di condrociti anziani che modificano i loro schemi di espressione genica dopo il trattamento. Una, che esprime 15-PGDH e geni coinvolti nella degradazione della cartilagine, ha registrato una diminuzione della prevalenza dall’8% al 3% dopo il trattamento. Un’altra, che non esprime 15-PGDH ma esprime geni coinvolti nella produzione di fibrocartilagine, ha anch’essa registrato una diminuzione della prevalenza: dal 16% all’8% dopo il trattamento.
Una terza popolazione, che non produce 15-PGDH ed esprime geni coinvolti nella formazione della cartilagine ialina e nel mantenimento della matrice extracellulare necessaria per la sua funzione, è aumentata in prevalenza dopo il trattamento dal 22% al 42%. I risultati indicano un cambiamento generale nell’espressione genica dopo il trattamento verso una composizione cartilaginea più giovane, senza il coinvolgimento di cellule staminali o progenitrici.
Infine, i ricercatori hanno studiato il tessuto cartilagineo umano prelevato da pazienti affetti da osteoartrite sottoposti a protesi totale del ginocchio. Il tessuto trattato con l’inibitore della 15-PGDH per una settimana ha mostrato livelli inferiori di condrociti esprimenti 15-PGDH e una riduzione della degradazione della cartilagine e dei geni della fibrocartilagine rispetto al tessuto di controllo, iniziando a rigenerare la cartilagine articolare.
“Il meccanismo è piuttosto sorprendente e ha davvero cambiato la nostra prospettiva su come può avvenire la rigenerazione tissutale”, ha affermato Bhutani. “È chiaro che un ampio pool di cellule già presenti nella cartilagine sta modificando i propri schemi di espressione genica. E prendendo di mira queste cellule per la rigenerazione, potremmo avere l’opportunità di avere un impatto clinico complessivo maggiore“.
Leggi anche:Artrite: rivoluzionaria “cartilagine artificiale” potrebbe trasformare il trattamento
Blau ha aggiunto: “Gli studi clinici di fase 1 su un inibitore della 15-PGDH per la debolezza muscolare hanno dimostrato che è sicuro e attivo su volontari sani. La nostra speranza è che uno studio simile venga avviato presto per testarne l’efficacia nella rigenerazione della cartilagine. Siamo molto entusiasti di questa potenziale svolta. Immaginate di rigenerare la cartilagine esistente evitando la sostituzione dell’articolazione”.
Hanno contribuito al lavoro i ricercatori del Sanford Burnham Prebys Medical Discovery Institute.
Riferimento: Science