I glioblastomi colpiscono molto più del solo cervello

glioblastomas-affect-m

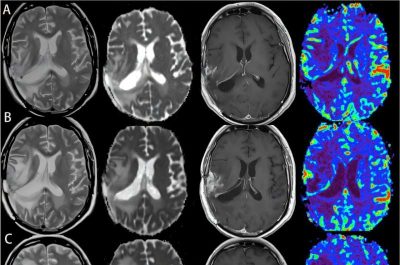
Glioblastomi-immagini: un caso di glioblastoma recidivato durante l’immunoterapia. Crediti: Yan Li et al, CC BY 4.0

Gli scienziati del Montefiore Einstein Comprehensive Cancer Center (MECCC) e dell’Albert Einstein College of Medicine hanno dimostrato per la prima volta che il glioblastoma , la forma più letale di tumore al cervello, non colpisce solo il cervello, ma erode anche il cranio, altera la composizione del midollo e interferisce con la risposta immunitaria dell’organismo. I farmaci destinati a inibire la perdita di tessuto osseo del cranio hanno reso il tumore più aggressivo, secondo i risultati pubblicati su Nature Neuroscience.

L’articolo è intitolato “I tumori cerebrali inducono una diffusa alterazione dell’osso cranico e l’alterazione del paesaggio immunitario del midollo cranico”.

“La nostra scoperta che questo tumore al cervello notoriamente difficile da curare interagisce con il sistema immunitario dell’organismo potrebbe aiutare a spiegare perché le attuali terapie, tutte mirate al glioblastoma come malattia locale, hanno fallito e, si spera, porterà a strategie di trattamento migliori“, ha affermato l’autore corrispondente dell’articolo, Jinan Behnan, Ph.D., Professore associato presso il Dipartimento di chirurgia neurologica Leo M. Davidoff e presso il Dipartimento di microbiologia e immunologia dell’Einstein, nonché membro del MECCC designato dal National Cancer Institute (NCI).

Secondo l’NCI, ogni anno vengono diagnosticati circa 15.000 casi di glioblastoma. La sopravvivenza media di coloro che ricevono il trattamento standard (chirurgia, chemioterapia e radioterapia) è di circa 15 mesi.

Una questione di midollo

Come per molte altre ossa, il cranio contiene midollo osseo in cui si formano le cellule immunitarie e altre cellule del sangue. La ricerca del Dott. Behnan sul glioblastoma e sul cranio è stata stimolata da recenti studi che hanno rivelato canali estremamente sottili che collegano il cranio al cervello sottostante, consentendo a molecole e cellule di viaggiare tra il midollo osseo e il cervello.

Il Dott. Behnan e i suoi colleghi hanno utilizzato tecniche di imaging avanzate su topi che avevano sviluppato due diversi tipi di glioblastomi. Hanno scoperto che i tumori causavano l’erosione delle ossa del cranio, soprattutto lungo le suture di fusione delle ossa .

Tali erosioni sembrano essere peculiari del glioblastoma e di altri tumori intracranici maligni, poiché non si verificano in caso di ictus, altri tipi di danno cerebrale o persino altri tumori sistemici. Le immagini di tomografia computerizzata ( TC ) di pazienti con glioblastoma hanno rivelato che le riduzioni dello spessore del cranio erano presenti nelle stesse aree anatomiche dei topi.

Si è scoperto che le erosioni craniche nei topi avevano aumentato il numero e il diametro dei canali cranio-osso. I ricercatori hanno ipotizzato che questi canali potessero consentire al glioblastoma di trasmettere segnali al midollo cranico, modificandone profondamente il sistema immunitario.

Una tendenza all’infiammazione

Utilizzando il sequenziamento dell’RNA a singola cellula, i ricercatori hanno scoperto che il glioblastoma aveva modificato radicalmente l’equilibrio delle cellule immunitarie del midollo osseo a favore delle cellule mieloidi pro-infiammatorie, quasi raddoppiando i livelli di neutrofili infiammatori e quasi eliminando diversi tipi di cellule B produttrici di anticorpi, nonché altre cellule B.

I canali cranio-cervello consentono l’afflusso di queste numerose cellule pro-infiammatorie dal midollo cranico al tumore, rendendo il glioblastoma sempre più aggressivo e, troppo spesso, incurabile”, ha affermato il coautore dello studio E. Richard Stanley, Ph.D., Professore di biologia molecolare e dello sviluppo presso l’Einstein.

“Ciò indica la necessità di trattamenti che ripristinino il normale equilibrio delle cellule immunitarie nel midollo osseo delle persone affette da glioblastoma. Una strategia potrebbe essere quella di sopprimere la produzione di neutrofili e monociti pro-infiammatori, ripristinando al contempo la produzione di cellule T e B.

È interessante notare che, a ulteriore dimostrazione del fatto che il glioblastoma è una malattia sistemica piuttosto che locale, il midollo del cranio e del femore hanno reagito in modo diverso al cancro. Il glioblastoma ha attivato diversi geni nel midollo del cranio che hanno aumentato la produzione di cellule immunitarie infiammatorie; ma nel midollo del femore, il cancro ha soppresso i geni necessari per produrre diversi tipi di cellule immunitarie.

I ricercatori si sono chiesti se la somministrazione di farmaci anti-osteoporosi che prevengono la perdita ossea avrebbe avuto un impatto sull’erosione ossea del cranio, sul glioblastoma o su entrambi. Per scoprirlo, hanno somministrato a topi affetti da glioblastoma due diversi farmaci approvati dalla Food and Drug Administration statunitense per il trattamento dell’osteoporosi.

Leggi anche:Glioblastomi: la senescenza cellulare gioca un ruolo significativo

Entrambi i farmaci (acido zoledronico e denosumab) hanno arrestato l’erosione cranica, ma uno di essi (acido zoledronico) ha anche favorito la progressione tumorale in un tipo di glioblastoma. Entrambi i farmaci hanno inoltre bloccato gli effetti benefici dell’anti-PD-L1, un farmaco immunoterapico che aumenta i livelli di cellule T che combattono i tumori.

Fonte:Nature Neuroscience

To top