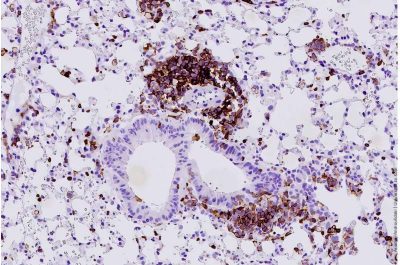
Cancro ai polmoni-immagine: colorazione con CD45 del tessuto alveolare polmonare di un nuovo modello murino di SCLC. In questi topi si osserva un aumento dell’infiammazione (CD45 = cellule immunitarie, marrone) prima dello sviluppo del tumore. Crediti: Nature Communications
Il carcinoma polmonare a piccole cellule (SCLC) è una delle forme più aggressive di cancro al polmone, con un tasso di sopravvivenza a cinque anni di appena il 5%. Nonostante questa prognosi sfavorevole, l’SCLC è inizialmente altamente responsivo alla chemioterapia. Tuttavia, i pazienti in genere recidivano e sperimentano una progressione della malattia molto rapida. La ricerca attuale sui meccanismi biologici alla base dell’SCLC rimane essenziale per prolungare la risposta al trattamento, superare le ricadute e, in definitiva, migliorare gli esiti a lungo termine per i pazienti.
Un team di ricerca guidato dalla Prof.ssa Dott.ssa Silvia von Karstedt (Genomica Traslazionale, Cluster di Eccellenza CECAD sulla Ricerca sull’Invecchiamento e Centro di Medicina Molecolare di Colonia – CMMC) ha scoperto un nuovo meccanismo utilizzato da questo tipo di cancro che contribuisce a spiegarne la natura aggressiva. Lo studio, “Lack of Caspase 8 Directs Neuronal Progenitor-like reprogramming and Small Cell Lung Cancer Progression” è stato pubblicato su Nature Communications.
Come SCLC imita le cellule neuronali
A differenza di altri tumori epiteliali, SCLC condivide alcune caratteristiche con le cellule neuronali, tra cui la mancanza di espressione della caspasi-8, una proteina coinvolta nella morte cellulare programmata e non infiammatoria (apoptosi), un meccanismo essenziale per eliminare le cellule difettose o mutate e per mantenere la salute.
Per imitare al meglio le caratteristiche del SCLC umano, il team ha generato e caratterizzato un nuovo modello murino geneticamente modificato privo di caspasi-8. Utilizzando questo nuovo modello, il team ha osservato che quando questa proteina è assente, si innesca un’insolita reazione a catena.
Il ruolo dell’infiammazione nella progressione del cancro
“L’assenza di caspasi-8 porta a un tipo di morte cellulare infiammatoria chiamata necrosi, che crea un ambiente ostile e infiammato ancor prima che i tumori si formino completamente”, spiega von Karstedt. “Siamo stati anche incuriositi nello scoprire che la necrosi pre-tumorale può in realtà promuovere il cancro condizionando il sistema immunitario“.
Leggi anche:Succo di actinidia arguta inibisce il cancro ai polmoni nei topi
L’infiammazione crea un ambiente in cui la risposta immunitaria antitumorale dell’organismo viene soppressa, impedendo alle cellule immunitarie di attaccare minacce come le cellule tumorali. Questo, a sua volta, può favorire la metastasi tumorale. Sorprendentemente, i ricercatori hanno osservato che questa infiammazione spinge anche le cellule tumorali a comportarsi più come cellule immature simili a neuroni, uno stato che le rende più facili da diffondere e che è associato alla recidiva.
Implicazioni per le terapie e la ricerca future
Sebbene non sia ancora noto se un’infiammazione pretumorale simile si verifichi anche nei pazienti umani, questo lavoro identifica un meccanismo che contribuisce all’aggressività e alla recidiva nei pazienti con SCLC che potrebbe essere sfruttato per migliorare l’efficacia delle future terapie e dei metodi diagnostici in fase iniziale.
Ulteriori informazioni: Nature Communications DOI: 10.1038/s41467-025-67142-4